Dental Implants
Tooth loss affects more than just your appearance. A missing tooth can impact your confidence and make chewing and speaking difficult. Dr. Shannen Manlucu in Rockville, MD, can rejuvenate your smile, restore oral function, and boost your self-esteem with dental implants. Learn how dental implants can improve your oral and overall health while giving you a beautiful smile.

Let's Start Planning Your New Smile!
Dr. Shannen Manlucu in Rockville has helped many patients live better lives through excellent dental care, and she can do the same for you. Our practice uses guided surgical techniques for the most precise dental implant outcomes, and we offer interest-free financing plans. Take the first step toward a better quality of life today by calling our

What Are Dental Implants?
Dental implants are artificial tooth roots, often made of durable titanium. These titanium implants support restorations such as dentures, dental bridges, and dental crowns to replace missing teeth. They also provide stimulation to the jaw that prevents the bone atrophy that occurs after tooth loss. A dental implant and restoration consist of 3 parts: the titanium implant, an abutment, and a restoration.
Dental Implants The Ultimate Tooth Replacement Solution
For patients with missing or failing teeth, dental implants can restore the form, function, and aesthetics of their smile. Dr. Shannen Manlucu has fine-tuned her skills when it comes to placing and restoring dental implants. During your visit to our Rockville office, she will assess the condition of your mouth to determine which treatment is best for you.
Why Do I Need Dental Implants? The Next Best Thing to Natural Teeth
You may be wondering why you should choose to restore your smile with an implant when a traditional bridge or denture is less expensive. While traditional options are more affordable, they do not offer the incredible benefits provided by implants, including:

Improved Health
Losing a tooth causes more than just a gap in your smile. The roots of your teeth provide important stimulation to your jawbone, keeping it strong and healthy. Without these signals, the bone tissue in your jaw begins to deteriorate. As this bone loss continues, your surrounding teeth will begin to shift. This can lead to your face appearing sunken and aged beyond your years. It can also lead to losing more of your natural teeth. Implants act as bionic tooth roots and are the only treatment proven to stop further bone loss.

Unmatched Stability
Implants fuse directly to your jawbone through a process called osseointegration. In simple terms, this means once they have healed, an implant becomes part of your body. A restoration placed on an implant will look, function, and feel just like a natural tooth. Since dental implants can be used to replace any number of missing teeth, patients with widespread tooth loss can enjoy unparalleled stability for a bridge or denture. With dental implants, you will be able to speak clearly again and eat all of your favorite foods without any concerns.

Long-Term Results
Implants are a proven solution for missing teeth. While a crown, bridge, or set of dentures will need to be replaced periodically, your dental implants can provide decades of reliable service with proper care. Factors that affect the longevity of dental implants include oral hygiene, bone density, medical conditions, location of the implant, whether or not you smoke, and the skill of the dentist conducting the surgery. Dr. Manlucu will discuss how these various factors will impact your implants during a consultation at our Rockville, MD, dental office.
A Stunning TransformationCould Improve Your Quality of Life
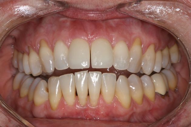
After experiencing multiple traumatic injuries to her two top front teeth, our dental implant patient decided to have them extracted and replaced by two implants supporting all-ceramic dental crowns here in Rockville. She wanted to keep the natural gap between her teeth, so our team included her request when rebuilding her new smile.

Before Dental Implants

After Dental Implants
Why Choose Renew Dental Partners?
40+ Years in the Community
Renew Dental Partners has provided the community of Rockville, MD, with top-quality care since opening our dental practice in 1981. Over this time, we've built a reputation as a welcoming practice that builds lasting relationships with patients and cares for entire families. See why generations of families have continued to choose us by requesting an appointment today.
State-of-the-Art Technology
Our dentist uses advanced dental technology so you can enjoy the long-term benefits provided by dental implants. Cone-beam computed tomography (CBCT) scans allow our doctor to plan every aspect of your surgery. With CBCT, Dr. Manlucu can plan the optimal placement of your dental implants, create a life-like restoration, and fabricate precise surgical guides so that you can enjoy the best possible results and a beautiful smile.
Comprehensive Care
At Renew Dental Partners, we offer you and your family the finest restorative treatments from our comfortable and inviting office. With our experienced dentist and advanced techniques and tools, we can treat nearly any oral health issue from the convenience of our dental practice. We also offer sedation options to help even the most anxious patients relax so that they can receive much-needed dental care without worrying about stress or pain.
How Much Do Dental Implants Cost?
Guided dental implant surgery starts at $2,200, but a multitude of other factors contribute to the overall cost of treatment. Typically, replacing a single missing tooth starts at just under $5,000. Compare this to a three-unit bridge, which typically costs $4,500. If you require any type of preparatory treatment, additional fees may apply to prepare for implant delivery.
We accept several types of dental insurance and our friendly office staff will file all the necessary paperwork with your provider so you can take full advantage of your benefits. Any procedures covered by insurance can help bring the overall cost of your individualized treatment down.
Flexible Financing Is Available
For patients interested in lowering their initial out-of-pocket expenses, we offer financing through CareCredit®. A healthcare-specific credit card, CareCredit provides payment plans ranging from six to 60 months. We can answer any questions you may have about the cost of dental implants and financing options during your next visit to our Rockville dental office.
Unsure If Implants Are Right for You? Learn More at a Consultation
There's no better way to have your questions answered about your tooth restoration options and your concerns addressed than by visiting our office for a consultation. Once Dr. Shannen Manlucu reviews your unique oral health needs, she'll be able to discuss the best options for your smile. Contact us or call to get started.
(301) 963-4330
Dental Implant Timeline
Guided implant surgery makes the procedure safer and more predictable than ever before.
No Smile Is Beyond Repair

Before

After
This patient was unhappy with unnatural-looking dental work from a previous provider. We placed just four implants to support a "hybrid" denture that attaches to the implants with screws and is not removable.
Implant Placement Aftercare
Some minor discomfort, swelling, and even a small amount of bleeding are to be expected following implant placement. This can all be easily managed at home. Here are some tips to make your implant recovery as smooth as possible:
Take Medications as Directed
Your dentist may prescribe a prescription pain medication or suggest over-the-counter medications to take after your implant placement surgery. Take them as recommended to reduce pain and inflammation.
Keep Your Head Elevated
Keep your head propped up during the first 24 hours after your implant placement. This will help to reduce swelling.
Use Ice
Use ice packs on your cheeks and jaw to reduce swelling during the first 24 hours after implant surgery. This will also help with any pain. Apply the ice packs for about 20 to 30 minutes at a time.
Eat a Soft Diet
It is best to eat a soft diet to reduce any irritation to the implant site. After a few days, you can resume eating solid foods as you feel able.
Most patients heal just fine and are back to normal activities within a few days. However, if you experience significant pain that is not helped with medications or other measures, abnormal swelling, fever, excessive bleeding, or any other concerning symptoms, please call us immediately so we can assess the situation as soon as possible. If you have any other questions about recovery, please feel free to call or send us a message.
Want Your Old Smile Back? Contact Us for a Consultation
From trouble chewing to being embarrassed about your smile, missing teeth can negatively impact your life every single day. But it doesn't have to be that way.
Whether you're missing a front tooth or have lost all of your natural teeth, Dr. Manlucu at Renew Dental Partners can provide implant-supported restorations that will completely transform your smile. Our state-of-the-art dentistry techniques create restorations that look and feel just like natural teeth. Dr. Manlucu provides patients in the Rockville and Bethesda area with personalized and comprehensive dental care. We offer financing options and calming sedation to help make implant dentistry available to everyone, no matter their hesitation.
Rediscover the confidence of a full, healthy-looking smile. Request your dental implant consultation by contacting us or by calling:

Nervous About Treatment? We Ensure Patients' Comfort With Sedation
Many patients experience anxiety about dental care, and would rather endure a damaged smile than visit a dentist. But there's no need to fear modern dentistry.
To help ease apprehensive patients, Dr. Manlucu offers calming oral sedation. Patients simply take a pill before their appointment and experience a relaxed, comfortable procedure. Many will not even remember their visit. Patients choosing sedation will need someone to drive them to and from our Rockville, MD, office.
How Do I Care for Dental Implants?
Good news! Dental implants can be cared for in much the same way as your natural teeth. Taking care of your restorations and dental implants will help ensure they stay beautiful and functional for years to come.
Follow these aftercare tips to
keep your dental work in top shape:
- Brush twice a day with a gentle, non-abrasive toothpaste.
- Use a soft-bristled toothbrush that won't scratch the restoration.
- Floss daily; a floss threader, interdental brush, or water flosser can help.
- Visit your dentist twice a year for thorough cleanings.
How long will implants last?
With proper care, you can expect your restoration to last 10-15 years or even longer (depending on the type). Your implants themselves can last a lifetime.







